치석은 치아에 굳어진 플라그입니다. 칫솔질과 치실 사용으로 플라그를 정기적으로 제거하지 않으면 플라그가 굳어 치석이 될 수 있습니다. 계속 읽으면서 치석이 무엇인지, 치석이 있는지 확인하는 방법, 예방하는 방법, 제거하는 방법에 대해 자세히 알아보겠습니다. 제거하지 않으면 어떻게 되는지도 살펴보겠습니다.

잇몸선 위, 아래, 위에 형성되며 잇몸 조직을 자극할 수 있습니다. 치아의 치석은 플라그가 자라날 더 많은 표면적과 접착할 표면을 훨씬 더 많이 제공하기 때문에 충치와 잇몸 질환을 유발할 수 있습니다. 치석이 잇몸선 위로 모이면 조직이 부어오르고 쉽게 피가 날 수 있습니다. 이것은 치은염입니다.
치석은 또한 다공성이고 쉽게 얼룩을 흡수하기 때문에 미용상 문제가 될 수 있습니다. 따라서 커피나 차를 마시거나 흡연하는 경우 치석 축적을 예방하는 것이 더욱 중요합니다.
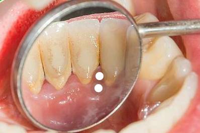
박테리아의 무색 필름인 플라그와 달리 치석은 미네랄이 쌓여 잇몸선 위에 있으면 쉽게 알 수 있습니다. 치석의 가장 흔한 징후는 치아나 잇몸의 노란색 또는 갈색입니다. 치석을 감지하고 제거하는 유일한 방법은 치과 의사나 치과 위생사를 만나는 것입니다.
특히 치석 조절 치약 을 사용한 적절한 양치질 과 치실은 플라그와 치석 축적을 줄이는 데 필수적입니다. 정기적으로 치과를 방문하는 것도 마찬가지입니다. 치석이 형성되면 치과의사 또는 치과위생사만이 치석을 제거할 수 있습니다. 치석을 제거하는 과정을 스케일링이라고 합니다.
스케일링 하는 동안 치과의사 또는 치과위생사는 특수 기구(치과의사를 방문할 때 볼 수 있는 날카로운 도구)를 사용하여 잇몸선 위와 아래의 치아에서 치석을 제거합니다.
열쇠는 그들이 치아 주머니의 바닥까지 완전히 청소해야한다는 것입니다. 치과 방문을 한 지 오랜 시간이 지났고 치석이 쌓였다면 치과 방문을 권장합니다.
치석은 잇몸 조직을 손상시키고 잇몸에서 출혈을 일으켜 치아가 빠질 수 있습니다. 따라서 잇몸 질환(일명 치주염)의 발전된 형태가 될 수 있습니다. 치주염이 퍼짐에 따라 더 깊은 잇몸 조직을 손상시키고 결국에는 턱뼈 부위까지 퍼져 치아가 헐거워지고 빠지게 할 수 있습니다.
치석은 정기적인 치아 관리로 제거되지 않는 플라그에서 비롯됩니다.
그리고 위에서 언급한 것처럼 치석을 제거하려면 전문가가 필요합니다. 잇몸질환을 예방하기 위해서는 제거가 필수입니다. 구강 위생을 유지하는 것이 치석 축적을 예방할 수 있는 최선의 방법임을 기억하십시오.
치아나 잇몸에 노란색이나 갈색이 보이면 가능한 한 빨리 치과의사의 진찰을 받으십시오. 구강 건강과 아름다운 미소를 유지하기 위해서는 치석 관리가 필수적입니다.
참고로 치석제거 = 스케일링 의 경우, 1년에 1번 건강보험 적용이 되어 비용도 1만원대 초중반으로 저렴하니 부담갖지 말고 치석제거 꼭 하세요.
필자의 경험상 치과의 정기검진은 6개월에 1번 정도로 해서 1년에 2번 정도는 스케일링 받으시길 추천드립니다. 일반적인 치아 스케일링 비용은 평균적으로 6만원대 입니다.(필자가 다니는 치과 기준)
치과 검진 : 치아 정기 검진의 장점 요약 정리
정기적인 치과 검진을 받을 때마다 치과 의사가 수행하는 여러 가지 검사가 있습니다. 치아와 잇몸의 건강을 평가하십시오. 잇몸 질환, 산성 침식 및 충치 부위를 찾으십시오. 충치 위험 평가 육
lifenews.housecontents.co.kr
※ 면책 조항 : 이 포스팅에 언급된 팁과 제안은 일반적인 정보 제공만을 목적으로 하며, 전문적인 의학적 조언으로 해석되어서는 안 됩니다. 의학적 문제에 대해 특정 질문이 있는 경우, 항상 의사나 전문 의료 서비스 제공자와 상담하십시오.
| 공황 장애 우울증 : 영향, 위험요인 및 치료 (0) | 2022.11.17 |
|---|---|
| 위산 역류 : 자가 관리 치료 방법 10가지 (0) | 2022.11.15 |
| 위산 역류 : 원인 증상 및 완화하는 방법 (0) | 2022.11.04 |
| 비타민 C가 풍부한 음식 : 권장 섭취량 (0) | 2022.11.02 |
| 임산부 캐모마일 안전 여부 : 캐모마일의 효과·효능 정리 (0) | 2022.10.29 |
댓글 영역