누구나 어린 시절에 "제대로 치약을하지 않으면 충치가 될거야"라고 들어본 경험이있을 것입니다. 그러나, 성인이 되면 어느 쪽인가라고 하면 치주병에 걸리는 리스크가 높아져 옵니다.

그러므로 '충치가 되지 않도록'에 가세해 '치주병이 되지 않도록'도 주의해 칫솔질을 할 필요가 나옵니다. 엄밀하게는 '충치가 되지 않도록'하는 손질과 '치주병이 되지 않도록'하는 손질에는 차이가 있습니다.
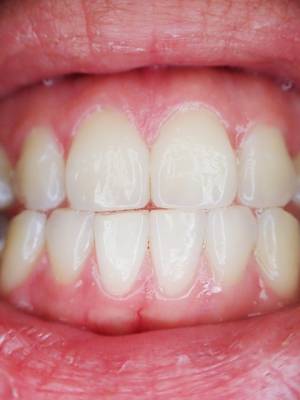
1. 옅은 핑크색
건강한 잇몸은 붉거나 붉은 보라색 등의 색은 하지 않고 '얇은 핑크색'이 기본입니다. 그러나, 멜라닌 색소가 많은 사람은 반드시 얇은 핑크가 아니고, 약간 갈색같은 착색이 붙어 있는 경우도 있습니다만, 붉은색이 강하지 않으면 괜찮습니다.
2. 치아와 치아 사이에 들어가는 잇몸의 형태는 날카로운 삼각형
긴축된 잇몸, 치주병이 없고, 내려가지 않은 잇몸은 날카로운 삼각형입니다.
3. 스티프 링이 있다
건강한 잇몸에는 스티프 링이라고 불리는 오렌지 껍질에 보이는 듯한 푹신한 미세한 움푹 들어간 곳이 보입니다.
4. 치아를 닦아도 출혈하지 않는다
염증이 있는 잇몸은 조금 만진 정도로 출혈합니다. 칫솔이나 치실로 출혈하지 않는 잇몸은 건강하다고 할 수 있습니다.
여러분의 잇몸은 이상의 조건에 들어맞았습니까?
1. 치약은 최소 1일 2회하는
1~2일 치약을 하지 않으면, 잇몸에 염증이 일어나 옵니다. 극단적으로 말하면 하루에 한 번 치약이 제대로 되어 있으면 염증은 일어나지 않지만, 어째서도 찢어져 남아 버리는 것이나, 구취 예방의 면에서도 하루에 2회는 최저라도 닦는 편이 좋습니다.
2. 잠자기 전에는 특히 시간을 들여 닦는다
밤에 자고 있는 동안은 타액이 거의 분비되지 않고, 세균이 번식하기 쉬운 상황이 됩니다. 즉, 야간에 잇몸의 염증이 일어나기 쉬워지므로, 자기 전에는 시간을 들여 정중하게 연마합시다.
3. 치실과 치간 브러시 사용
치간 얼룩은 칫솔만으로는 떨어지지 않습니다. 치실이나 치간 브러시를 밤에 자기 전 치아를 청소할 때 사용합시다.
4. 치아와 잇몸의 경계를 확실히 노려 닦는다
치주병 예방에는, 치아와 잇몸 사이의 홈의 부분의 더러움을 확실히 떨어뜨리는 것이 중요합니다. 이를 위해서는 치아의 측면을 닦을 때 칫솔을 치면에 대해 45도로 기울여 잇몸의 홈에 머리끝을 넣는 기분으로 닦으면 좋을 것입니다.
잇몸 마사지도 되고, 혈행이 좋아지고 잇몸을 긴축시키는 효과도 있습니다.
5. 반년에 한 번은 치과에서 클리닝을 받는다
아무리 칫솔이나 치실을 열심히 해도 완전하게 더러움을 떨어뜨리는 것은 불가능합니다. 떨어지지 않는 얼룩이나 치석은 치과에서 정기적으로 청소(스케일링) 하십시오.
6. 입호흡을 하지 않는다
입을 열어 호흡을 하고 있는 사람은 입이 건조해, 잇몸에 염증을 일으키고 있는 것이 대부분입니다. 입으로 호흡을 하는 버릇이 있는 경우는 곧바로 그만두도록 하고, 비염등으로 입 호흡을 하고 있는 경우는, 비염을 치료합시다.
7. 잘 씹는, 잘 말한다
입안이 타액으로 촉촉하고 있으면 세균이 씻겨지기 쉬워, 잇몸의 염증도 일어나기 어렵게 됩니다. 잘 씹고 먹고 잘 말하면 타액의 분비가 좋아집니다.
8. 담배를 피우지 않는다
흡연하면 치주병을 발병하기 쉽고, 또한 매우 진행하기 쉬워집니다. 잇몸을 생각한다면 금연합시다.
9. 치아에 너무 힘을 가하지 않는다
취침 중에 나이트 가드를 붙이는 등으로 대처합시다.
10. 건강에 주의한다
당뇨병이나 골다공증은 치주병과 매우 깊은 관련이 있습니다. 몸의 건강에도 주의합시다.
일반적으로 40대 이후에는 치주병이 진행되기 쉬워집니다. 평소부터 잇몸의 건강에 주의를 기울여 계속 자신의 치아로 씹도록 합시다!
치석제거 안하면 치은염 치주염으로 고생
치석은 치아에 굳어진 플라그입니다. 칫솔질과 치실 사용으로 플라그를 정기적으로 제거하지 않으면 플라그가 굳어 치석이 될 수 있습니다. 계속 읽으면서 치석이 무엇인지, 치석이 있는지 확
lifenews.housecontents.co.kr
※ 면책 조항 : 이 포스팅에 언급된 팁과 제안은 일반적인 정보 제공만을 목적으로 하며, 전문적인 의학적 조언으로 해석되어서는 안 됩니다. 의학적 문제에 대해 특정 질문이 있는 경우, 항상 의사나 전문 의료 서비스 제공자와 상담하십시오.
| 종합비타민효능 10가지 : 2023년 종합영양제 추천 3선 (0) | 2023.01.11 |
|---|---|
| 눈영양제 : 눈 및 시력에 좋은 비타민 9가지 (0) | 2023.01.10 |
| 독감증상 과 코로나19 징후 및 증상 차이점 : 독감 고위험군 (0) | 2023.01.04 |
| 면역력높이는음식 및 면역력 강화 팁 (0) | 2023.01.03 |
| 어린이 종합비타민 : 필요성 및 중요한 영양소 6가지 (0) | 2022.12.31 |
댓글 영역